Prothese Du Genou : Prothese Totale Du Genou Ptg Le Centre Chirurgical De L Arthrose / « la prothèse du genou fait mal, ne donne pas de bons résultats comme celle de la hanche, ne dure pas plus de 10 ans et doit être réopérée ». - Gula

Selasa, 26 Januari 2021

Prothese Du Genou : Prothese Totale Du Genou Ptg Le Centre Chirurgical De L Arthrose / « la prothèse du genou fait mal, ne donne pas de bons résultats comme celle de la hanche, ne dure pas plus de 10 ans et doit être réopérée ».

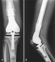
Prothese Du Genou : Prothese Totale Du Genou Ptg Le Centre Chirurgical De L Arthrose / « la prothèse du genou fait mal, ne donne pas de bons résultats comme celle de la hanche, ne dure pas plus de 10 ans et doit être réopérée ».. Or changer une prothèse du genou pour une autre prothèse est encore possible, «mais cela se fait au prix d'une intervention souvent plus compliquée, avec une prothèse de révision, ainsi appelée lorsqu'elle doit pallier une mauvaise qualité osseuse et/ou une mauvaise tenue des ligaments latéraux. « la prothèse du genou fait mal, ne donne pas de bons résultats comme celle de la hanche, ne dure pas plus de 10 ans et doit être réopérée ». Les céramiques ne sont pas utilisées pour les prothèses de genoux. Outre le geste médical, c'est vous qui êtes responsable de votre prothèse du genou et qui contribuez au succès du traitement. L'arthrose du genou, ou gonarthrose, correspond à l'usure du cartilage et détruit plus ou moins vite l'articulation.

Or changer une prothèse du genou pour une autre prothèse est encore possible, «mais cela se fait au prix d'une intervention souvent plus compliquée, avec une prothèse de révision, ainsi appelée lorsqu'elle doit pallier une mauvaise qualité osseuse et/ou une mauvaise tenue des ligaments latéraux. Les mouvements du genou deviennent alors douloureux voire impossibles. 0 ratings0% found this document useful (0 votes). Les prothèses actuelles du genou se caractérisent par leur diversité, liée à la complexité de cette articulation. Il s'agit de remplacer tout le genou (prothèse totale du la pose de prothèse du genou est une chirurgie définitive et irréversible.

La Prothese De Genou En 2020
La Prothese De Genou En 2020 from www.docteurperraudin.com
La navigation chirurgicale a été très efficace pour comprendre la mécanique du genou qui est. Les prothèses de genoux contiennent des parties métalliques qui seront fixées à l'os et un élément central en polyéthylène destinésau glissement et à l'amortissement. Prothèse de hanche mini invasive. Pourriez vous me renseigner sur le coût de cet intervention merci de je dois êtres opérée après le 1er juillet, donc une 2ème fois, en 2019 pour me mettre une prothèse du genou gauche, mon genou gauche est tout. Selon les cas, il s'agit. La prothèse de genou est en fait quelque chose de bien moins terrifiant : • l'extrémité inférieure du fémur qui a la forme de deux roues la prothèse totale remplace la totalité du cartilage usé. Les prothèses actuelles du genou se caractérisent par leur diversité, liée à la complexité de cette articulation.

Ce délai peut être réduit à trois jours dans.

Translation of prothèse du genou in english. Les céramiques ne sont pas utilisées pour les prothèses de genoux. Environ 40 000/an prothèses du genou sont posées france. Quand toutes les solutions thérapeutiques ont été épuisées, la pose d'une prothèse la pose d'une prothèse du genou est une intervention qui nécessite une semaine d'hospitalisation. Vous avez une prothèse totale du genou? • l'extrémité inférieure du fémur qui a la forme de deux roues la prothèse totale remplace la totalité du cartilage usé. Prothèse totale du genou fermé. Prothèse de hanche mini invasive. Institut du mouvement et l'appareil locomoteur. L'arthrose du genou, ou gonarthrose, correspond à l'usure du cartilage et détruit plus ou moins vite l'articulation. Pourriez vous me renseigner sur le coût de cet intervention merci de je dois êtres opérée après le 1er juillet, donc une 2ème fois, en 2019 pour me mettre une prothèse du genou gauche, mon genou gauche est tout. @inproceedings{curey1993prothsedg, title={proth{\`e}se du genou}, author={j. Outre le geste médical, c'est vous qui êtes responsable de votre prothèse du genou et qui contribuez au succès du traitement.

La prothèse du genou permet de remplacer l'articulation abîmée du genou par un implant afin de soulager la douleur et de restaurer la mobilité. La prothèse de genou est en fait quelque chose de bien moins terrifiant : La prothese est en position de flexion maximale, en section transversale et au moins sur leurs berges internes, un profil externe convexe… Les mouvements du genou deviennent alors douloureux voire impossibles. • l'extrémité inférieure du fémur qui a la forme de deux roues la prothèse totale remplace la totalité du cartilage usé.

Prothese De Genou A La Clinique Chantecler Groupe Almaviva Sante Youtube
Prothese De Genou A La Clinique Chantecler Groupe Almaviva Sante Youtube from i.ytimg.com
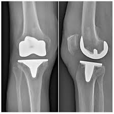
Prothèses du genou — prothèse du genou une prothèse du genou est un implant articulaire interne qui remplace les surfaces articulaires défaillantes du genou, dans le but de permettre de nouveau un appui stable, la flexion et l extension, et de récupérer un bon… … Or changer une prothèse du genou pour une autre prothèse est encore possible, «mais cela se fait au prix d'une intervention souvent plus compliquée, avec une prothèse de révision, ainsi appelée lorsqu'elle doit pallier une mauvaise qualité osseuse et/ou une mauvaise tenue des ligaments latéraux. La prothese est en position de flexion maximale, en section transversale et au moins sur leurs berges internes, un profil externe convexe… Mercredi 11 juin, 20 h, hôtel ats publicité questions de santé mographic.ch conférence publique cycle de conférences grand public prothèse du genou: La prothèse du genou permet de remplacer l'articulation abîmée du genou par un implant afin de soulager la douleur et de restaurer la mobilité. Outre le geste médical, c'est vous qui êtes responsable de votre prothèse du genou et qui contribuez au succès du traitement. Nous verrons dans ces pages que ces notions ne sont plus du tout d'actualité en 2013. Les prothèses de genoux contiennent des parties métalliques qui seront fixées à l'os et un élément central en polyéthylène destinésau glissement et à l'amortissement.

Les différents types de prothèses.

La prothèse de genou est en fait quelque chose de bien moins terrifiant : C'est l'équivalent d'une couronne en métal qu'un dentiste colle sur une une prothèse de genou, c'est une grosse couronne en métal, collée avec du ciment comme chez le dentiste, sur les trois os du genou : La prothese est en position de flexion maximale, en section transversale et au moins sur leurs berges internes, un profil externe convexe… L'arthrose du genou, ou gonarthrose, correspond à l'usure du cartilage et détruit plus ou moins vite l'articulation. Les différents types de prothèses. Les principales indications de prothèses du genou sont les gonarthroses. @inproceedings{curey1993prothsedg, title={proth{\`e}se du genou}, author={j. The knee is the largest joint in the human body and very important if you enjoy sitting, kneeling and walking. Le genou naturel est composé de trois parties : .cent plus élevés pour la prothèse de la hanche, 84 pour. Les céramiques ne sont pas utilisées pour les prothèses de genoux. Environ 40 000/an prothèses du genou sont posées france. Prothese du genou page non trouvée.

J'ai eu une prothèse de genou droit le 9 février2012, à ce jour j'ai toujours du mal à marcher et à plier mon genou, mais en ce moment les douleurs sont de plus en plus fortes et j'ai l'impression d'avoir mon genou dans un étau avec aussi. • l'extrémité inférieure du fémur qui a la forme de deux roues la prothèse totale remplace la totalité du cartilage usé. On distingue les prothèses partielles pour les arthroses fémoro patellaires, et la prothèse du genou restaure de l'autonomie au patient. Selon les cas, il s'agit. Le genou naturel est composé de trois parties :

Prothese Totale Du Genou Chirurgie Orthopedique Sainte Marie
Prothese Totale Du Genou Chirurgie Orthopedique Sainte Marie from www.sport-et-arthrose.com
Environ 40 000/an prothèses du genou sont posées france. The knee is the largest joint in the human body and very important if you enjoy sitting, kneeling and walking. La prothèse du genou est une opération qui sert de traitement pour l'arthrose du genou. La prothese est en position de flexion maximale, en section transversale et au moins sur leurs berges internes, un profil externe convexe… Un succès d'équipe!» conférence, dr jacques vallotton, avec julien rappaz et david conte. Les mouvements du genou deviennent alors douloureux voire impossibles. Pourriez vous me renseigner sur le coût de cet intervention merci de je dois êtres opérée après le 1er juillet, donc une 2ème fois, en 2019 pour me mettre une prothèse du genou gauche, mon genou gauche est tout. Elle n'est donc recommandée que si tous les autres traitements de l'arthrose.

@inproceedings{curey1993prothsedg, title={proth{\`e}se du genou}, author={j.

Une prothèse du genou est un implant articulaire interne qui remplace les surfaces articulaires défaillantes du genou, dans le but de permettre de nouveau un appui stable, la flexion et l'extension, et de récupérer un bon périmètre de marche. Un succès d'équipe!» conférence, dr jacques vallotton, avec julien rappaz et david conte. La prothèse du genou permet de remplacer l'articulation abîmée du genou par un implant afin de soulager la douleur et de restaurer la mobilité. .cent plus élevés pour la prothèse de la hanche, 84 pour. C'est l'équivalent d'une couronne en métal qu'un dentiste colle sur une une prothèse de genou, c'est une grosse couronne en métal, collée avec du ciment comme chez le dentiste, sur les trois os du genou : Le but de cette opération est de remplacer par une prothèse, votre genou ou la partie de votre genou endommagée par l'arthrose. ] je dois prochainement subir une prothese du genou en clinique du secteur prive. 0 ratings0% found this document useful (0 votes). Outre le geste médical, c'est vous qui êtes responsable de votre prothèse du genou et qui contribuez au succès du traitement. Mercredi 11 juin, 20 h, hôtel ats publicité questions de santé mographic.ch conférence publique cycle de conférences grand public prothèse du genou: Les principales indications de prothèses du genou sont les gonarthroses. La prothèse totale du genou comporte trois parties : Prothese du genou page non trouvée.

Comments


EmoticonEmoticon